Neurodiagnostik - Training & Beratung
 Neurodiagnostik - Training & Beratung

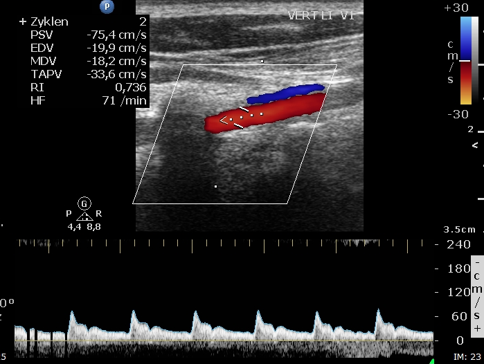
Vorerst finden Sie unkommentiere Bilder ... weitere Informationen folgen.

 

 

Fachweiterbildung Bethel

 

zur

 

Fachkraft für neurophysio-

logische Diagnostik

Druckversion | Sitemap
© Frank Böhme